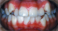
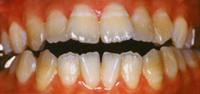
悪い歯並びは、人によってすべて違いますが、出っ歯、受け口、乱杭歯、八重歯などが一般的な症状です。これらは、見た目が悪いだけでなく、かみ合わせが悪いため、健康上さまざまな影響が出てくる可能性があります。 問題のある歯並びを放置しおくと、以下のようなデメリットが生じる事があります。
宮城県大崎市古川の古川駅から南へ1kmの歯科
ホーム ≫ 矯正歯科治療 ≫
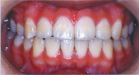
悪い歯並びは、人によってすべて違いますが、出っ歯、受け口、乱杭歯、八重歯などが一般的な症状です。これらは、見た目が悪いだけでなく、かみ合わせが悪いため、健康上さまざまな影響が出てくる可能性があります。 問題のある歯並びを放置しおくと、以下のようなデメリットが生じる事があります。
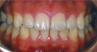
大人の歯並びを直していくことは可能ですが、痛みが出たり、後戻り(前の状態に戻ってしまうこと)が生じたりと、なかなか難しい治療です。当クリニックではお子様の歯の成長を考え、早期に治療を開始し、骨の成長コントロールを行なうことにより自然な歯並びを得られるように配慮した矯正治療(咬合誘導)を行なっております。そしてなるべく永久歯は抜かずにすませるよう心がけた治療を行なっています。


上顎(うわあご)の骨が前後的に大きい場合、あるいは大きさは普通でも上顎の骨が頭の骨に対して前方に位置する場合生じる不正咬合です。また、前歯の傾斜によっても生じる場合があります。 「指しゃぶり」「うつぶせ寝」や「下唇を前歯ではさむ」といった習慣が原因となって上顎前突になる場合があります。




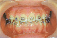
上顎(うわあご)や下顎(したあご)の位置や大きさの不調和が著しい場合には、外科的処置によって上下の顎の位置関係やかみ合わせを改善します。上顎の前歯を内側から押すことにより、前歯の関係が改善できる場合もあります。




「指しゃぶり」や「舌を前歯ではさむ」といった習慣、あるいは「おしゃぶり」が原因となって開咬になる場合があります。


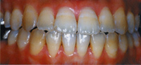
噛み合わせを挙げるために、症例に応じて、咬合挙上板やエッジワイズ装置をもちいて治療を行います。前歯の噛み合わせが深いため、治療前には下の前歯がよく見えません。


スマートフォンからのアクセスはこちら