歯周病とは
放っておくと歯を失ってしまう,歯ぐきと歯を支える骨の病気です。
宮城県大崎市古川の古川駅から南へ1kmの歯科
ホーム ≫ 歯周病の治療 ≫
放っておくと歯を失ってしまう,歯ぐきと歯を支える骨の病気です。
いっけん問題なさそうにみえますが・・・・
X線写真で見ると歯を支える骨がなくなってきています。
歯周病の原因菌を含むプラーク(細菌のかたまり)によって炎症が起こります。生活習慣によっては、歯周病を悪くさせるものもあります。
歯周病は歯周病菌が引き起こす感染症です。ただ歯周病菌がわずかでもいれば必ず発症するわけではなく、歯周病菌がはびこりやすいような環境や条件があったり(後天的要因)、歯周病菌に対して体が弱い(先天的要因)というようなことが重なることによって発症、進行するといわれています。
歯周病菌は歯周ポケットといわれる歯の周りの深い溝の中に住んでいます。深いポケットの中は歯周病菌の大好きな環境で歯ブラシも入ってきません。しかも歯周病菌は細菌バイオフィルムというマンション暮らしをしているために薬や体の免疫が働きにくくなっています。
歯周病の多くは無症状です。また症状の強さと実際の進行度が一致しないこともあります。歯根全てが歯周病菌に侵されると骨がなくなり、歯が抜け落ちてしまいます。歯周病の症状は大きく分けると歯ぐきに炎症があることによる症状と歯を支える骨が溶けることによる症状があります。
歯周病は、歯と歯ぐきの間に入り込んだ歯周病菌と、全身や生活習慣の問題から起こる病気です。
歯周病原菌
歯周ポケット内にはさまざまな大きさの活発に動きまわる 細菌がたくさん観測されます。
歯ぎしり、くいしばり
無意識のうちに過大な力が加わることで歯を支える骨に負担がかかります。
清掃不良
食後のブラッシングを習慣づけましょう。
その他のリスクファクター
糖尿病、ストレス、偏った食生活、薬剤服用(血圧を下げる薬)なども歯周病の進行を促進します。
さまざまな検査をおこなって、1本1本の歯の歯周病の状態を調べます。
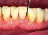
歯周ポケット検査
ごく軽い力で「プローブ」という器具を歯周ポケットに挿入します。深さを測ったり、歯や歯ぐきの内側を触って歯周病の進行程度や炎症の有無を確認します。

歯と歯ぐきの繊細な部分を調べるため、注意深く行ないますが症状によっては痛みを感じる事があります。
歯ぐきの出血検査
歯の動揺度検査
調べたい歯をピンセットではさんで動かし、その時の動く状況によって歯周病の進行度を調べます。
パノラマレントゲン

お口の中の全体的な骨の状況を調べることができます。
デンタルレントゲン

個々の歯の骨の状況を調べることができます。
歯肉炎~軽度の歯周炎の治療ステップ
歯肉炎はブラッシングによるプラークコントロールを徹底することで改善していきます。ただし、改善したからといってプラークコントロールを怠ると歯肉炎、歯周炎へと移行します。
▼術前

▼術後
プラークと歯石を除去しました。
適切なブラッシング指導を受け、実践することで歯ぐきの腫れがとれて引き締まってきました。
中等度歯周炎の治療ステップ
歯周病がある程度進行してくるとブラッシングだけでは治療が難しくなります。 歯肉縁下の歯石やプラークをスケーリング・ルートプレーニングで除去し、口腔内を清潔に保つことで、歯周病の進行を止め健康な歯肉を取り戻せます。
▼術前

▼SPR前
ブラッシングによるプラークコントロールで歯ぐきの腫れが徐々に改善してきました。

▼術後
重度歯周炎の治療ステップ
歯周病が重度まで進行すると、炎症をくい止め機能回復を図るように努力します。歯肉縁下や根分岐部の病変を除去するために、場合によっては歯周外科手術も必要になります。
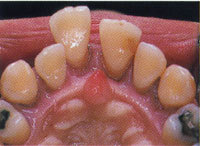
歯ぐきが赤く腫れぶよぶよし、深い歯周ポケットには膿がたまっています。病気の進行により、歯並びも乱れています。
ブラッシングによるプラークコントロールや、スケーリング・ルートプレーニングおよび歯周外科処置によって、 歯周炎が改善し引き締まった歯ぐきになりました。
治療後のよい状態を維持するために、歯科医院での定期的なメインテナンスと毎日のセルフケアが大切です。
▼STEP1 術前

▼STEP2 SRP前


▼STEP3 SRP後


▼STEP4 歯周外科中

▼STEP5 術後

歯周炎が改善し引き締まった歯ぐきになりました。
治療後のよい状態を維持するために、歯科医院での定期的なメインテナンスと毎日のセルフケアが大切です。
歯周病治療はブラッシングによるプラークコントロールなくして治癒はありえません。
正しい歯みがきでプラークを取ることは歯周病治療の基本です。ブラッシングは回数や長さより、みがき残しが無いようにみがくことが大切です。 プラークを確実に除去するには、歯ブラシの毛先を使い分け、歯面に直角に当ててみがくことが大切です。それには、口腔内のすみずみにまで無理なく毛先がとどき、スムースに動かすことです。
また、細菌は空気が嫌いなので歯周ポケット内で繁殖します。ブラッシングでポケットに空気を入れることで、細菌が住みにくくなります。また、歯をみがくだけでなく、歯ぐきをマッサージすることも重要です。歯と歯の間に隙間ができている人は歯間ブラシやデンタルフロスも必要です。ぜひ一度歯科医院でブラッシング指導を受けましょう!
▼3か月後
プラークコントロールが上手になり、歯肉の炎症が治まりました。
歯石はプラークが唾液や血液中のカルシウムやリンなどのミネラル分と結合してできたもので、文字通り石のように硬く歯や歯根表面に強固についており、ブラッシングやうがい薬などでは決してとれません。 スケーリングは、歯に付着したプラークや歯石、その他の沈着物などを器械的に除去することです。ルートプレーニングは、汚染された根面のセメント質や象牙質を除去して、硬くなめらかな根面にすることです。両方の操作で歯肉の炎症はなくなり、歯周組織がさらに破壊されるのを抑制します。
歯肉縁下のルートプレーニング(SRP)
歯周ポケットの底部をキュレットの刃の遠心切縁で確認します。刃は歯石を除去するために、スケーリングのストロークで根面に沿って動かします。srpは患者さんの負担もあり、一般的に1回の治療で4~ 6 歯の範囲で行ないます。
SRPは患者さんの負担もあり、一般的に1回の治療で4~ 6 歯の範囲で行ないます。
歯石除去作業に使用する道具
キュレットスケーラーは、手作業の器具による細かな部分の仕上げに使用し、超音波スケーラーは、大量についた歯石に振動を与えて一気に歯石を取り除きます。
SRP後の知覚過敏について
セメント質や象牙質表層部まで除去され、象牙細管が露出するために知覚過敏が起こります。 通常は1週間がピークで、象牙細管が石灰化して2~3 週間で消えていきます。
麻酔の使用について
深い歯周ポケット底のSRPは、患者さんによっては多少痛みを伴うことがありますので、事前に麻酔をしてから処置します。
歯周治療は、ブラッシングとSRPによる十分なプラークコントロールで約85%までが治ります。しかし、根の解剖学的形態が複雑で、完全に歯石やプラークを除去する事が困難な場合、またホームケアをしやすいように歯ぐきの形態を整える必要がある場合は、歯周外科が必要になることもあります。
歯周外科のステップ
1.SRP後のプロービング診査で出血が認められます。
2.根面を直視するため肉牙組織の除去を行ないます。
3.歯槽骨を被覆するように縫合します。
4.術後の診査では炎症がなくなり、プロービング時に出血を認めません。
GTR法とは
歯周病により損なわれた歯周組織(歯根膜、歯槽骨)を回復させるために、その部位に生体吸収性の膜(メンブレン)を設置し、歯周組織の再生を誘導させる治療法です。設置された膜は、設置後約 6 週目以降は組織内に吸収されてなくなります。
歯周組織再生療法は夢の治療法のように思われますが、現時点では適応症の範囲は狭く、その後の患者さん自身の管理と定期検診が不十分ですとまた再発する事もわかっています。
歯周組織再生療法は夢の治療法のように思われますが、現時点では適応症の範囲は狭く、その後の患者さん自身の管理と定期検診が不十分ですとまた再発する事もわかっています。
いったん歯周病菌に感染すると、口の中の歯周病菌をゼロにすることはかなり難しいと考えられています。 治療によって歯周ポケットが浅くなり、歯石がなくなっても残った歯周病菌は次のチャンスをうかがっています。歯周病菌に復活のチャンスを与えないために定期的なメインテナンスが必要です。
全身診査
健康状態や口腔衛生状態などをお聞きして、患者様の生活状態などを把握します。
口腔の診査
プラーク付着の評価、歯周組織の診査、歯周ポケットの測定を行ないます。
X線写真による判定
1年に1回を目安に歯槽骨の吸収程度を観察します。
メインテナンス後の再評価
再評価の結果を患者様に伝えて、必要な場合はその処置を行ないます。
プラークコントロールの状態に合わせてリコール期間を決定します。歯周治療が終了しても、治療後のプラークコントロールが悪ければ再発します。患者様自身のホームケアと、歯科医院での定期的なプロケアで、予防と管理が必要です。
プラークコントロール抜きの歯周治療はありえないし、メインテナンス抜きの歯周治療もありえません 。
スマートフォンからのアクセスはこちら